江苏 [切换城市]

江苏站
江苏跳蚤市场 共有 10929 个结果
  • 焊接模拟器/焊接模拟机/焊接教学设备

    2图

    虚拟仿真焊接可进行多角度、全位置焊接演练,可以进行不同焊接姿势的模拟演练,例如平焊、立焊、横焊、仰焊等;适用于对接、T接等接头形式。虚拟仿真焊接节约电能,没有焊条(丝)、焊件和保护气体等材料的消耗,并可大大减低培训时间。..

    信息类别:工程机械
    联系人:胡伟伟
  • 叉车模拟机/叉车模拟器/叉车模拟教学设备

    2图

    按照《国家质量监督检验检疫总局关于四类特种设备操作人员考试机构提出基本要求的函》(质监特函【2009】100号)要求,特种设备作业人员考试机构须配备相应的考试设备及考试场地,通过模拟机对真实情况的模拟,提高特种设备作业人员的安全技术水平,徐州硕博电子科技有限公司研制开发的最新款叉车模拟考核教学设备。..

    信息类别:工程机械
    联系人:胡伟伟
  • 瑅米浅秋款好货提前上新

    1图

    不断上新瑅米秋装码段:5-13 浅秋款,好货提前上新,数量不多..

    信息类别:服装/鞋帽/箱包
    联系人:阿琛
  • 人力资源管理系统-苏州汇通软件科技有限公司

    1图

    汇通人力资源管理系统给企业提供了All In One的管理体验,我们在自主研发的人事管理系统的基础之上提出软硬件一体化的方案,进而解决了制造型企业在生产运营中遇到的一系列,诸如人事管理、流程管控、考勤管理、员工关系管理等实际问题。而产品经过20年的磨砺、近千家使用客户的反馈和6次大的产品升级,如今已经成为拥有12个系统模块、上千种特殊问题解决方法的管理平台。..

    信息类别:图书/音像/软件
    联系人:lili
  • 长期专业回收贴片机,回流焊,波峰焊,锡膏印刷机

    1图

    长期专业回收贴片机,回流焊,波峰焊,锡膏印刷机,AOI/SPI/X-RAY,邦定机,综合测试仪,示波器,三次元,投影仪,冲床,注塑机,压铸机,磨床,火花机,钻攻中心,加工中心,精雕机,慢走长期专业回收..

    信息类别:其他物品交易
    联系人:谭小姐
  • 低投资24H自助售货无需人工包赚钱

    橙人工坊拥有自已的研发设计团队,每月设计出市场上流行元素款式,周周上新款,每月有促销活动,只为满足客户的极致需求,产品已成为公司的较核心的竞争力,旗下合作品牌有:杜蕾斯,杰士邦,冈本,第六感,百乐,雷霆等世界知名品牌,确保产品质量稳定可靠,是中国成人情趣用品行业覆盖消费人群较广的成熟品牌....

    信息类别:食品保健品
    联系人:秦经理
  • 适合大学生 副业 全职宝妈在家轻松月入过万

    1图

    您是不是想找一个【投入少、收入好、轻松】的行业呢?是时候撸袖子开干了~橙人工坊成人用品自动售货机,专业的自动售货机解决方案,多年细作化运营经验,2018年打造品牌加盟无忧模式。从选址,装修,机器安装与铺货,开店宣传,二次销售等全部托管,更提供机器终身免费服务与无偿赔付模式。投资无忧:投资金额押金全部返还,合同体现,确保放心投资。..

    信息类别:食品保健品
    联系人:秦经理
  • 南京高价上门回收洋酒老酒茅台酒五粮液冬虫夏草礼品

    本公司是一家正规的礼品回收,专业回收,冬虫夏草等高档礼品各类物品的回收价格基于市场价。本着诚信经营的理念,服务于大众,深受广大市民的信赖,量多者可打电话预约上门回收.,虫草的识别专家,欢迎新老客!专车当天***,现金高价回收、冬虫夏草、高档礼品等..

    信息类别:其他物品交易
    联系人:徐先生
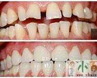
  • 牙齿矫正多少钱?

    1图

    “一直想去做个矫正,但是担心价格太贵,所以想问一下,北极星口腔医院做个矫正多少钱呢?”……  近段时间不断有顾客朋友来咨询矫正的价格,接下来,请看看北极星口腔医院专业矫正医..

    信息类别:其他物品交易
    联系人:常州北极星口腔
  • 单颗牙缺失修复选用哪种方法好

    2图

    牙齿脱落已经不再是老年人的专利,现在很多年轻人也会有牙齿脱落的现象,而原因大部分都是由外力撞击所致,这对于爱美的年轻人来说可是一大打击。在年轻人中常见的就是单颗牙齿缺失,那么单颗牙齿缺失修复选用哪种方法好?下面我们就跟随北极星口腔医院医师一起来了解一下吧!..

    信息类别:其他物品交易
    联系人:常州北极星口腔
  • 种植牙多少钱

    很多缺牙患者就想要去医院进行牙齿修复,而目前常见的几种修复方式当中,要属种植牙更受欢迎,因此种植牙的价格备受关注,其价格是多少呢?..

    信息类别:其他物品交易
    联系人:常州北极星口腔
  • 牙齿松动怎么办呢??

    牙齿松动会导致我们的牙齿咀嚼食物能力下降,有的人在早晨或者晚上刷牙的时候会出现牙齿松动,或者在吃东西的时候总是觉得牙齿要掉现象,这就是牙齿松动明显的表现症状。那么牙齿松动了怎么办呢?..

    信息类别:其他物品交易
    联系人:常州北极星口腔
  • 3M Lava全瓷冠美学优势

    1图

    3M Lava全瓷冠是由美国3M公司新研制的美牙修复方式,由CAD/CAM所组成,用以建构前牙和后牙牙冠与牙桥的全瓷冠系统。全瓷支(骨)架利用预先烧结的二氧化锆支架,透过CAD/CAM程序(扫描、电脑辅助支架设计、车削)来制成,此系统可产生密合度较佳的高强度全瓷修复体。3M Lava全瓷冠美学优势..

    信息类别:其他物品交易
    联系人:常州北极星口腔
  • 常州矫正牙哪里好

    北极星口腔,全国连锁品牌,医保定点单位,以“全数字化”体系和专业正畸医师团队作为核心优势,签约质保服务和数字化矫正技术,现在北极星口腔在常州拥有分院,您可以选择就在近门店方便就诊。..

    信息类别:其他物品交易
    联系人:常州北极星口腔
  • 徐州云龙区回收烟酒铜山贾汪回收53度茅台酒

    1图

    徐州回收186/5394/3381(微信同号)专业回收范围简介:回收《茅台酒》《拉菲酒》《红酒》《洋酒》;专业回收项目:回收《茅台酒》,回收《地方国营茅台酒》,回收《五粮液》,回收《剑南春》,回收《水..

    信息类别:食品保健品
    联系人:陈先生